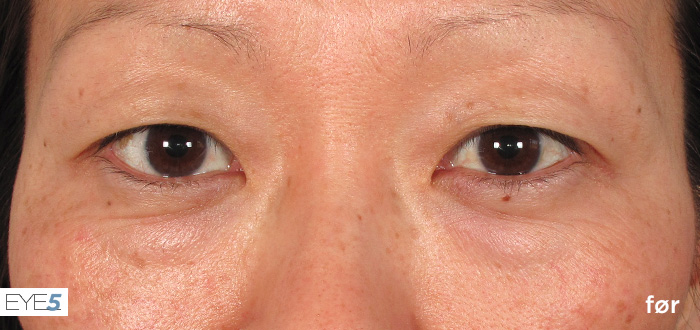
Vi er alle unikke, og nedenstående fotos (eftergivet med tilladelse fra patient) er repræsentative for de resultater, som kan opnås ved operation ud fra de givne fysiske/anatomiske forhold. Læg derfor godt mærke til øjenomgivelserne (f.eks. øjenbrynshøjde, øjenåbning, øjendybde mm.) på de enkelte fotos, som er meget afgørende for det endelige resultat! "Efter-billederne” er ikke redigeret/manipuleret og taget ca. 3 måneder efter operation (NB opheling er først komplet efter 6-12 måneder).


















Double eyelids - "nasally tapered, medium high, lateral flare"














Fjernelse af overskydende hud, ingen "crease"-formation (=monolid)







